西新宿歯科クリニック診療メニュー
むし歯治療
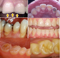
こんな症状はありませんか?
- □歯がズキズキと痛い
- □冷たいもので歯がしみる
- □歯の表面が黒い
- □噛んだ時に歯が痛い
むし歯
の可能性があります。
むし歯の進行
むし歯の進行は
CO
C1
C2
C3
C4
| CO | ほとんどの場合、歯を削りません。食事指導やフッ素を取り入れ再石灰化を促進しましょう。 定期的なチェックとホームケアで経過を見ていきます。 |
|---|---|
| C1 C2 | 限局的にむし歯を除去しコンポジットレジン(プラスチック)かセラミックで補います。 むし歯が深い場合は症状が改善できるまで回数がかかることがあります。 |
| C3 C4 | 根の治療が必要です。何回かの通院が必要ですが放置をすると最終的には抜歯に繋がるため根気強く治療しましょう。 根の治療の後は根の中を埋めて被せ物を入れます。 難治性の場合は専門医のご紹介をさせていただきます。 |
診断には(ケースによる)
☆ ダイアグノデント(レーザーによりむし歯菌の数を調べる検査機器です)
☆ マイクロ顕微鏡(歯科用顕微鏡で根の中を拡大してみることができます)
むし歯にならないようにするには 良質な唾液がある口腔内で
1 歯の抵抗力を高める(フッ素の応用・シーラント処置)
2 細菌を減らす(ブラッシング・デンタルフロス・歯間ブラシ・うがい薬)
3 砂糖を減らす(シュガーコントロールまたは代用甘味料摂取)
顎関節症
こんな症状はありませんか?
- □顎が痛む
- □口が開かない
- □顎を動かすと音がする
顎関節症の可能性があります。
顎関節症の治療
1 整体療法(セルフケアでできるお口の運動)
2 マウスピースの装着(可能性のあるほとんどの方にお勧め)
3 咬合の改善
酸蝕症
こんな症状はありませんか?
- □冷たいものがしみやすい
- □歯が丸みを帯びる
- □歯にへこみができる
- □前歯の先端部分が透けており、ヒビが入ったり、欠けたりする
酸蝕症の可能性があります。
酸蝕症の原因
☆ 歯ぎしり 食いしばり
☆ 食生活(酸性の物の取りすぎ)
☆ 逆流性胃腸炎 摂食障害
☆ 酸性の薬剤(ビタミン剤・アスピリン)
ホームケア用品として
☆ 歯磨き粉((PROエナメル)
☆ ミネラルパック(MIペースト)
☆ うがい薬(PHバランサー) お勧めです!
クリーニング(お口を清潔にしたい)
ご自宅での普段の歯磨きでは落としきれない歯垢や歯石をキレイにお掃除します。
お口の中がより清潔になるため、口臭予防にもつながります。
